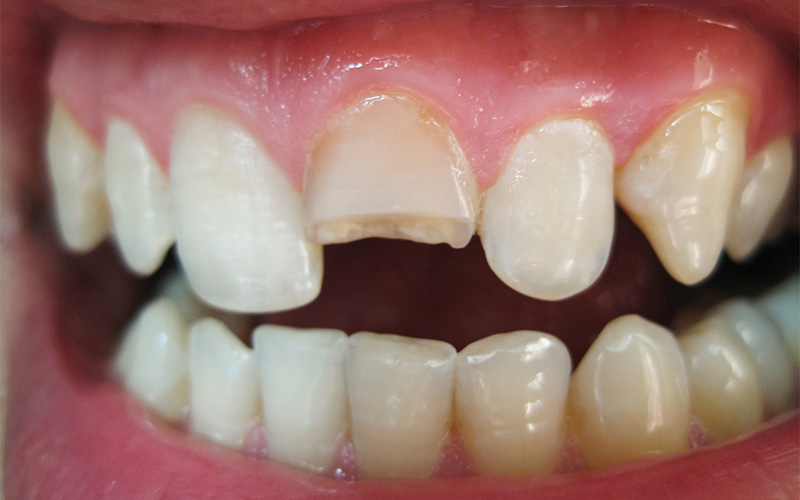
3 Key Signs You Are Suitable for Root Canal Treatment
Wondering if root canal treatment is suitable for you? If you are trying to make a better decision between doing a tooth extraction or root canal treatment, this article has been written to help you decide whether you are a suitable candidate for root canal treatment. Key takeaways Definition:......
Dr Benjamin Chan's FeedDr Thira Wong's FeedRoot Canal Treatment







