Gum grafting/regeneration

Home > Gum Recession Treatment

Gum grafting is a surgical treatment for severe gum recession or gum loss.

Gum recession occurs when the gum tissue surrounding the teeth pulls away significantly, exposing a portion of the tooth’s root. This may cause the tooth to look much longer and become more sensitive. When the recession is close to a muscle attachment (frenum) or when the attached gum tissue is thin, the gum recession may progress even further.

Gum grafting may also be needed to improve the gum contour and shape after dental implant surgery or employed to close defects such as a maxillary sinus perforation.

What causes gum recession ?

  • Aggressive brushing techniques
  • Periodontal (gum) disease
  • Genetics
  • Ageing
  • Night time grinding (bruxism)
  • Dental crowding resulting in some teeth being subjected to more chewing or grinding forces ( traumatic occlusion)
  • Orthodontic treatment
  • Intraoral piercings/jewelry (tongue or lip piercing)
  • Habits (using toothpicks, poking the teeth with pens etc)
  • Infections around dental implants
  • frenum pull around the necks of teeth
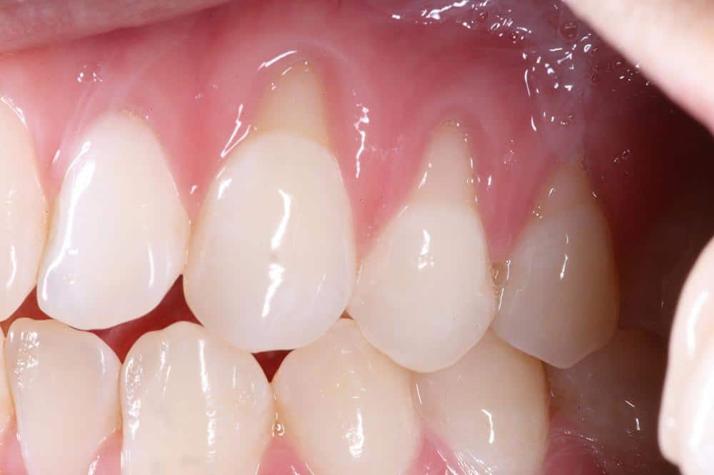
A closeup showing gum recession

Are there different types of gum grafting?

There are different types of gum grafting techniques.

Connective-tissue grafts:

The underlying connective tissue is harvested from underneath the gum in the palate (donor site). The topmost layer at the donor site is left behind and stitched back. The graft is inserted underneath the existing gum in the recipient site through incisions and fixed in place with stitches.

  • This is a versatile procedure and allows excellent blending of the grafted site with the rest of the tissues since the graft is inserted underneath the gum. This is useful for patients with inherent pigmentation of the gums.

Free gingival grafts:

The entire thickness of tissue is harvested including the outermost keratinized layer. Provides new keratinized tissue for the recipient site. Unfortunately, the thick rugged graft may not blend in well with more delicate recipient tissues (e.g. at the front of the mouth).

Pedicle grafts:

The graft donor site is the gum adjacent to the recipient site. The benefit of this approach is a single surgical wound. Since the donor site is small, this is only suitable for small defects.

Artificial grafts:

Artificial grafts are available for treatment of extremely large defects or where simultaneous grafting of multiple sites is required.

Gum Grafting/ Gum Recession Treatment at Elite Dental

Step 1: Assessment

Your gum health is assessed as part of the new patient examination and active maintenance. Xrays/3D CBCT scans are used to assess the amount of underlying bone which is needed to support the graft. Photos and measurements of the areas with gum recession will determine what type of graft is needed, how much improvement is likely and how stable it will be over the long term.

Assessment for grafting cases is done by our in-house Gum Specialist (Periodontist).

Step 2: Pre-surgical preparation

A few days before, a thorough scaling and polishing is done. Most patients also start applying a topical antiseptic gel to the target areas twice daily. An oral probiotic is also given to boost the numbers of beneficial bacteria in the saliva so that healing is smooth.

Step 3: Gum grafting surgery procedure

Gum grafting is done under local anaesthetic. You may also choose to be sedated for the entire procedure to guarantee a pain free experience.

Ultrasonic scalers and hand instruments are used to remove plaque and tartar from below the gum line, and smooth out rough areas on the root surfaces. Old rough fillings may also need reshaping/polishing. Smoothing these rough areas provides a favourable surface for the gums to attach to.

If a connective tissue/free gingival graft has been planned, the recipient site is measured. The measurements are transferred to the donor site. The harvested graft is transferred to the recipient site and both surgical sites are stitched up.

You will be sent home with painkillers and an antiseptic mouthrinse.

Expect bruising and swelling over the next week, especially if a large area was grafted. The wounds SHOULD NOT be disturbed or brushed for at least 2-3 weeks. This is the period when the healing tissues are vulnerable to trauma that may cause recession.

Most grafts are stable and fully mature by 3 months. This is when you may have prosthetic work (veneers/crowns) done if indicated.

Topics About Receding Gums

Click on the links below to learn more about receding gums.

Frequently Asked
Questions

Got questions? We’ve got answers! Check out our FAQ section for common inquiries and helpful information to guide you.

What is gum grafting?

Gum grafting is a periodontal surgical procedure that uses tissue to cover exposed tooth roots or increase the amount of gum tissue around teeth. The procedure is performed to treat gingival recession, which is the apical shift of the gum margin that exposes the tooth root. Gum grafting can address several issues associated with gingival recession including tooth sensitivity, root decay, non-carious cervical lesions, and aesthetic concerns.

The tissue used for grafting is typically harvested from the roof of your mouth (palate) or, in some cases, tissue substitutes may be used.

You may need gum grafting if you have gingival recession causing dentine hypersensitivity, root caries, aesthetic concerns, or to prevent further recession. Common reasons for gum grafting include treating exposed tooth roots that cause sensitivity to hot or cold foods, protecting roots from decay, improving the appearance of your smile when recession makes teeth look too long, and preventing further gum recession that could lead to tooth loss.

Gum grafting may also be recommended before orthodontic treatment or restorative procedures to ensure adequate gum tissue is present. The first step in determining if you need gum grafting is identifying the factors causing your recession, such as aggressive toothbrushing or bacterial plaque.

During recovery, you should expect some discomfort, swelling, and dietary modifications for the first 1-2 weeks. The most common postoperative complications are pain, swelling, and bleeding, though these are generally mild and manageable.

Patients who undergo free gingival grafts are more likely to experience donor site pain compared to those receiving connective tissue grafts, particularly during the early postoperative period. You will likely be prescribed pain medication and given specific instructions about oral hygiene, diet (soft foods), and activity restrictions. Most patients can return to normal activities within a few days, though complete healing takes several weeks to months.

Yes, smoking negatively influences root coverage procedures, particularly subepithelial connective tissue grafts. Current smokers are three times more likely to experience post-surgical swelling compared to non-smokers.

There is substantial evidence that smoking adversely affects the treatment outcomes in plastic surgery procedures. For optimal healing and success of your gum graft, it is strongly recommended to stop smoking before and after the procedure.

Yes, non-surgical treatment options include optimal plaque control, removal of overhanging restorations, behaviour change interventions, and use of desensitising agents. These approaches are appropriate when recession is mild or when surgical intervention is contraindicated or refused by the patient.

Non-surgical management focuses on preventing further recession by addressing causative factors such as aggressive toothbrushing and bacterial plaque. However, non-surgical treatments cannot restore lost gum tissue or cover exposed roots—they can only help prevent further recession.

HOW CAN WE
HELP?

Heading to a dental clinic can be a scary and almost overwhelming experience. If you have landed on our website, we would like to extend our warmest welcome to you and your family. There is nothing to fear!

If you require more information about our costs or are looking for ways to save money on dental treatments, arrange for a consultation with our dentists at a time of your convenience.

Related Dentistry Services

Click To Find Out More

Tooth Extraction

Removal of severely damaged or decayed teeth when preservation is no longer possible.

Click To Find Out More

Smile Makeover

A personalised treatment plan that combines multiple cosmetic procedures to enhance tooth shape, colour, alignment, and overall smile aesthetics.

Click To Find Out More

Dental Implant

A long-term solution for replacing missing teeth. Dental implants restore function and appearance by anchoring a replacement tooth securely into the jawbone.

Click To Find Out More

Root Canal Treatments

Treatment for infected or inflamed tooth pulp. Root canal therapy helps save the natural tooth while helping to relive pain and prevent further complications.

Click To Find Out More

Dental Crown

A protective cap placed over a weakened or heavily restored tooth. Dental crowns help restore tooth strength, function, and natural appearance.

Click To Find Out More

Dental Filling

Used to repair teeth affected by decay, wear, or minor fractures. Dental fillings restore the tooth’s structure and function while helping to prevent further damage or sensitivity.

Click To Find Out More

Wisdom Tooth Extraction

Removal of impacted or problematic wisdom teeth to relieve pain, reduce infection risk, and prevent damage to surrounding teeth.

Click To Find Out More

Mercury Fillings Removal

Removal and replacement of old amalgam (mercury) fillings with modern tooth-coloured materials. This helps restore aesthetics and supports a more uniform, natural-looking smile.

Click To Find Out More

All-on-4 Implants

A full-arch tooth replacement option supported by four implants. Suitable for patients with extensive tooth loss who want a fixed and stable smile.

Let’s Book
An Appointment!

Drag and drop the pins OR click the markers.
Contact us via WhatsApp immediately if your pain is more than 6!